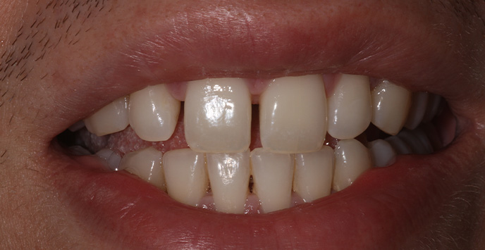
"I am very pleased with the treatment I received. There was no discomfort during the course of treatment. The treatment has been beneficial because I can now eat anything either side of my mouth and I also I can smile better. I would strongly recommend Senthil to friends and family if they need similar care or treatment"
Mr W. Burrows, Treatment received: Sinus Lift, Implants, Crowns, Bridge
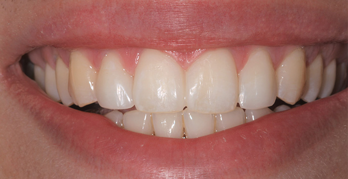
"Very pleased with quality of treatment, friendliness of practice and patient care. There was very little discomfort and much less than I expected. Improved self-confidence – willing to show teeth when smiling for first time in over 30 years. I would extremely likely to recommend Senthil to friends and family if they need similar care or treatment"
Mr M. Giles, Treatment received: Dental Implants, Veneers, Sinus Lift
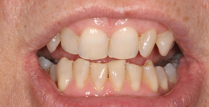
"Well cared for and full explanation to what was happening and good aftercare. Very slight discomfort during the treatment. I benifited from implant treatment as its much less hassle than having a denture"
Mrs V. Westwood, Treatment received: Dental Implants