Case Studies

Case Studies

Smile Suffolk is committed to excellence in both dentistry and patient care. Our award-winning team has received recognition from the professional media.

Browse a selection of our cases here:

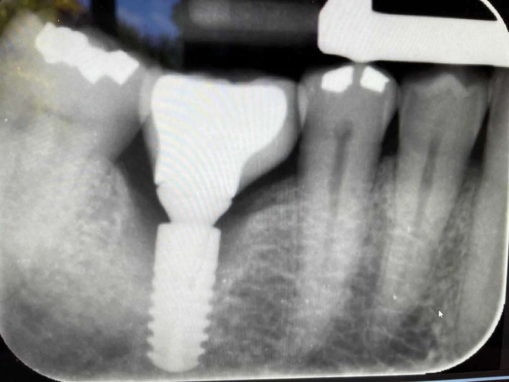
Access all areas technology improves peri-implantitis outlook

Dr Senthil describes decontamination of the implant surface and surrounding tissue for a patient suffering from peri-implantitis.

Read more…

Exceeding all expectations with conservative peri-implantitis management

Dr Senthil describes a treatment plan that helped to save an implant for a patient with bone loss.

Read more…

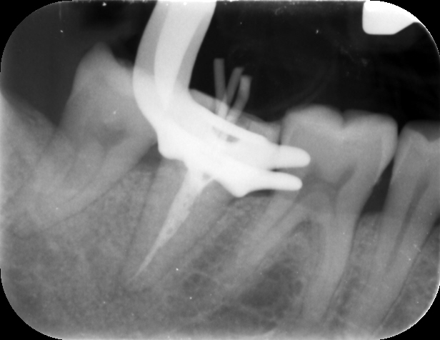
Saving a tooth with laser-assisted endodontics

In this case report, Dr Senthil demonstrates how precise root canal treatment helped to save a tooth and avoid more complex therapy for a patient suffering from advanced caries.

Read more…

A smile is the prettiest thing you can wear

click here to book an appointment online today

Read our reviews

Click here to leave us a Google Review

Get in touch


01473 728886
hello@smilesuffolk-ipswich.co.uk
Smile Suffolk - Ipswich,
1 Woodbridge Road East,
Ipswich, Suffolk, IP4 5QP.

"Every time you smile at someone, it is an action of love, a gift to that person, a beautiful thing."

Mother Teresa