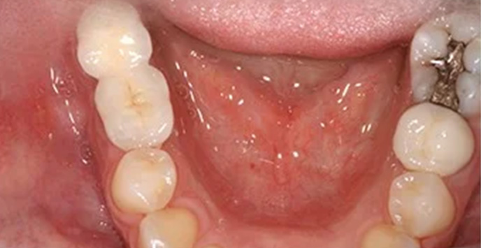
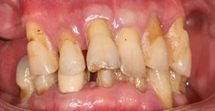
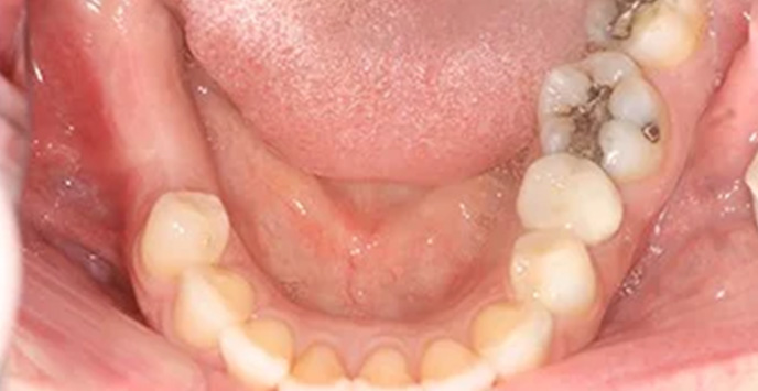
Before and After – Implants

A smile is the prettiest thing you can wear

click here to book an appointment online today

Read our reviews

Click here to leave us a Google Review

Get in touch


01473 728886
hello@smilesuffolk-ipswich.co.uk
Smile Suffolk - Ipswich,
1 Woodbridge Road East,
Ipswich, Suffolk, IP4 5QP.

"Every time you smile at someone, it is an action of love, a gift to that person, a beautiful thing."

Mother Teresa