Invisalign offers a discreet, minimally invasive and highly effective way to change the appearance of your smile. It allows you to achieve your dream straighter smile in comfort, without any metal brackets or wires irritating your mouth, and is increasingly popular with both adults and teenagers.
Invisalign uses bespoke aligners to move the positions of your teeth. It is very easy to use. Simply wear each aligner for 20-22 hours each day and let the gradual and gentle forces get to work. Invisalign blends perfectly into your everyday life, and requires no changes to your diet or lifestyle as the aligners can be removed for eating, drinking and brushing your teeth.
The innovative clear aligners are virtually invisible in the mouth when worn, giving you a confidence boost even during treatment. No-one needs to know you are on a journey to beautifully straight teeth until they notice you smiling much more once your treatment is complete!
We are proud to offer Invisalign in Suffolk, helping our patients achieve the smile of their dreams.

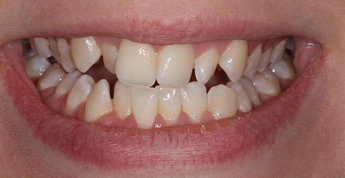
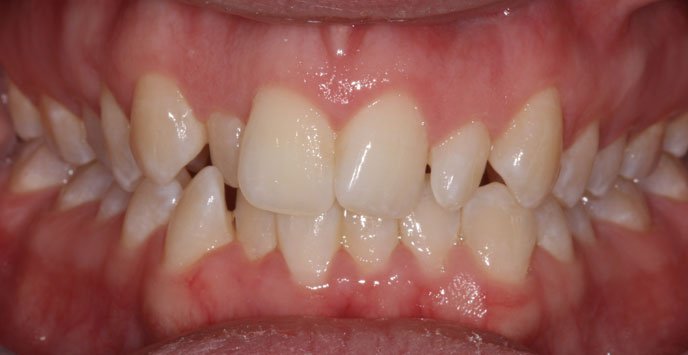
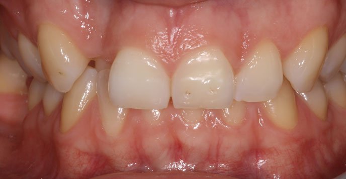
Invisalign can help with a whole range of orthodontic issues, including crowding, misalignment, gaps and incorrect bites. Straightening your teeth can also have a positive effect on your overall appearance, enhancing your facial shape and structure.
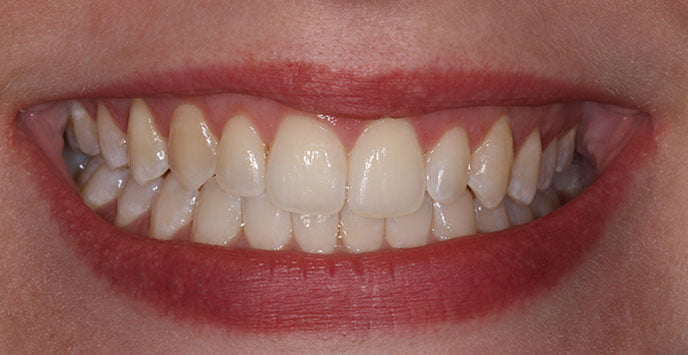
Straighter teeth and a winning smile gives a huge boost to your self-esteem. Many patients find the confidence their new smile brings even starts during the treatment process, thanks to the virtually invisible clear aligners that we offer in Ipswich.
Invisalign uses a series of clear, custom-made aligners to straighten your teeth into new positions to transform your smile.
Initial Consultation
At your initial appointment, we will examine your teeth and take 3D scans and images to ensure your aligners have a precise and accurate fit. We can even use digital technology to show you a preview of how your smile will look following treatment!
ClinCheck & Treatment Plan
We create your bespoke treatment plan and ensure you are happy with it. Using innovative ClinCheck software, we can show you step by step how your teeth will move position as you wear your aligners.
Gradual Teeth Straightening
You will need to wear each aligner in the series for 1-2 weeks before moving on to the next one. As you wear each aligner, your teeth gradually move until your new dream smile is achieved. The aligners control the amount and timing of movement based on your bespoke treatment plan, ensuring that each stage goes smoothly. We keep a close eye on your progress at your regular appointments, making small adjustments if necessary to ensure an incredible outcome.
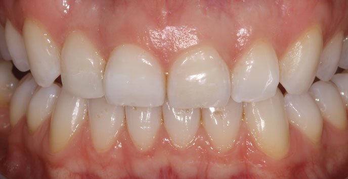
Smile!
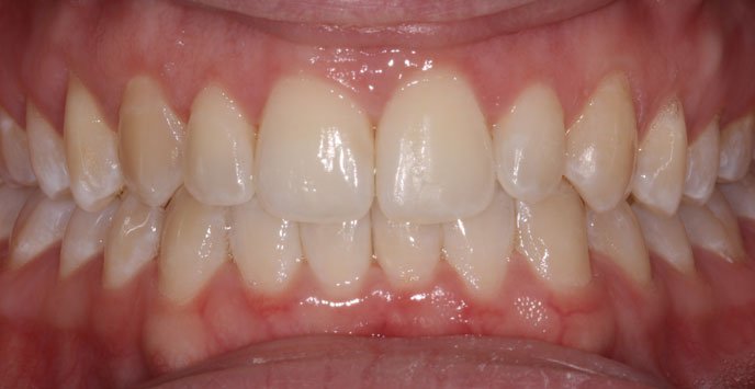
Once you have worn your last aligner, treatment is complete and you can get ready to show off your new straight smile! We will give you a final retainer following treatment. It is necessary to wear your retainer to keep your teeth in their new positions, as teeth can naturally shift over time.
Why do so many people choose Invisalign in Suffolk?
The convenience, effectiveness and easy to use nature of Invisalign has made it the straightening system of choice for millions of patients looking to improve their smiles worldwide.
It’s the clear choice for patients looking for a cosmetic approach to their orthodontic treatment. The removable aligners fit seamlessly into each patient’s daily lives and do not require any major changes to diet or brushing routines. In short, Invisalign offers a very successful way to boost confidence and achieve a dream smile.





